
افضل طبيب تجميل اسنان بالرياض
د. مهدي فايز
طبيب في جراحة الفم و الأسنان
عضو الجمعية الأميركية لتجميل الأسنان
عضو الجمعية البريطانية لتجميل اللثة
خبرة 19 عام في تجميل الأسنان
ابتسامة طبيعية تشبهك
مع دكتور مهدي فايز
بخبرة 19 سنة في تجميل الأسنان
أسنان قوية، صحية، وابتسامة طبيعية تمامًا
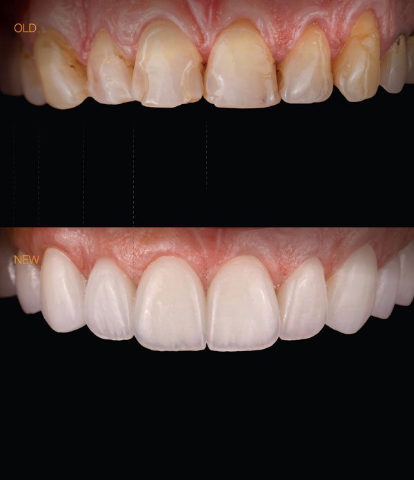
كل ابتسامة تصمم بعناية في عيادة دكتور مهدي فايز لتناسب ملامح وجهكم واحتياجاتكم، باستخدام قشور الإيماكس مصمم خصيصاً في ديزاينرز كلينك مصنوعة من عدت طبقات لشفافية تحاكي شكل الأسنان الطبيعية من حيث اللون واللمعان.
تتميّز قشور الإيماكس من ديزاينرز كلينك بقوتها العالية وكونها لطيفة على اللثة، وتُنفّذ بخطوات دقيقة وتقنيات حديثة تضمن مظهرًا طبيعيًا، إحساسًا مريحًا وقوة مكانياكية عالية لابتسامة جميلة تدوم معكم لسنوات.
قشور فيلدسباثيك
ابتسامة جديدة بدون برد للأسنان
مع دكتور مهدي فايز
احصل على ابتسامة رائعة بدون برد للأسنان
في ديزاينرز كلينك، يقدّم الدكتور مهدي فايز تقنية حديثة لتصميم الابتسامة باستخدام قشور الفيلدسباثيك، وهي من أفضل أنواع القشور التجميلية التي تمنحك شكلاً طبيعيًا يشبه أسنانك الأصلية.
قشور الفيلدسباثيك رقيقة جدًا وتُثبت على الأسنان بدقة، لتندمج معها بشكل مريح وتمنحك لونًا ولمعانًا طبيعيين.
وفي معظم الحالات، لا تحتاج إلى برد الأسنان أو تتطلب تحضيرًا بسيطًا جدًا، مما يحافظ على أسنانك سليمة وطبيعية.
قشور الفيلدسباثيك تجمع بين الجمال، القوة، والراحة، لتمنحك ابتسامة أنيقة وطبيعية تدوم معك وتعبّر عنك بثقة.
تجميل و قص اللثة بالليزر
مع د. مهدي فايز احدى افضل اطباء الأسنان في الرياض
تحديد اللثة و معالجة الابتسامة اللثوية بدون نزيف أو آلم
في جلسة واحدة
اعد لابتسامتك الثقة
مع د. مهدي فايز
استعد ثقتك وابتسامتك مع حلول متكاملة تجمع بين الوظيفة، الجمال، والراحة.
عند فقدان سن واحد أو عدة أسنان، تُعد التركيبات الثابتة أو الأطقم الكاملة والجزئية من أفضل الحلول لإعادة بناء الابتسامة بشكل عملي وطبيعي. هذه الحلول تساعدك على استعادة القدرة على المضغ والنطق براحة، وتمنحك مظهرًا متناسقًا يعيد لك الإحساس بالثقة.
يقدّم د. مهدي فايز خطط علاج مصمّمة خصيصًا لكل حالة، باستخدام مواد عالية الجودة وتقنيات حديثة، للحصول على نتائج مريحة، طبيعية، وتدوم لسنوات خلال وقت مناسب وبتكلفة مدروسة.
احجز استشارتك اليوم وابدأ خطوة جديدة نحو ابتسامة ثابتة وثقة تدوم.
